![]() |
| ▲ © 세계타임즈 |
그러다 보면 치아가 약간씩 움직이면서 치아 사이 틈새가 벌어지는 현상이 생길 수 있다. 치아 사이 틈새가 벌어지면 그 사이로 음식물이 끼는데 그 음식물을 잘 청소하지 않으면 부패되어 잇몸에 염증과 충치, 악취를 유발한다.
그러므로 치아 사이의 음식물 청소는 입안 건강을 위해 매우 중요하다.
치아 사이의 좁은 틈새에 끼는 음식물은 칫솔로는 청소하는데 한계가 있어서 다른 보조 용품이 필요한데 가장 많이 권장되는 것이 치실과 치간칫솔이다.
실제 상황에서는 이쑤시개를 많이 사용하지만 단단한 이쑤시개를 치아 사이에 넣고 힘을 주면 지렛대 원리가 작용해서 치아 사이가 점차적으로 벌어지는 매우 안 좋은 결과를 초래할 수 있어 사용하지 않는 것이 바람직하다.
올바른 치실, 치간칫솔 사용법을 본다면, 치실을 치아 사이에 넣고 치아의 옆면을 닦는 것은 치아나 잇몸 건강에 매우 중요하다. 치실을 쓰면 치아가 벌어지지 않느냐고 묻는 경우가 있는데 치실은 이쑤시개와는 달라서 일부러 힘을 주지 않으면 치아가 벌어질 염려는 없다.
오히려 치실을 사용하지 않아 치아 사이에 붙어 있는 음식물 찌꺼기 때문에 큰 문제가 생기는 것을 걱정해야 한다.
종종 치아의 옆면이 썩거나 치아 사이의 잇몸에 염증이 심해져서 치아 사이의 잇몸 뼈가 심하게 손상되는 경우가 있는데 이런 것을 보면 치아의 옆면을 닦아 주는 것이 얼마나 중요한지 알 수 있다.
실제로 음식을 먹고 나서 칫솔질을 깨끗이 했다고 생각하겠지만 치실로 치아 사이를 청소해 보면 생각보다 많은 음식물이 묻어 나오는 것을 볼 수 있다.
잇몸이 약해졌거나, 잇몸 수술을 받았거나, 잇몸이 상해서 임플란트를 했을 경우 치아와 치아 사이의 공간이 넓어져 있기 때문에 치간칫솔을 활용하는 것이 좋다. 특히 어금니 부위에서는 치간칫솔이 효과적이다.
![]() |
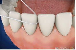
▲ 치아 사이에 치실을 넣고 치아의 옆면을 따라 위아래로 문질러서 옆면에 붙어 있는 음식물 찌꺼기를 제거한다. 치실을 넣은 상태에서 방향을 바꿔서 옆의 치아도 같은 방식으로 문질러 준다.
|
![]() |
| ▲ 뒤 치아의 옆면도 문질러 주면 매우 좋지만 구조적으로 하기가 쉽지 않다. 어금니는 앞니보다 훨씬 더 강한 압력으로 음식을 씹기 때문에 음식물이 낄 확률이 높고 충치나 잇몸 질환이 잘 생길 수 있으므로 최대한 해 보도록 노력하자. |
입안에 음식물이 오랫동안 남아 있어 충치나 잇몸 질환이 잘 생기는 취약 부위가 바로 치아와 잇몸 사이의 틈과 치아와 치아 사이이다.
치아와 잇몸 사이의 틈은 칫솔질을 통해 어느 정도 청소가 가능하지만 치아와 치아 사이는 치실이나 치간칫솔 등의 도움을 받지 않으면 청소가 잘 되지 않으므로 연령이 증가할수록 그 중요성이 커진다고 볼 수 있다.
꼭 기억하자. 치실이나 치간칫솔은 선택이 아니라 필수라는 사실을!
![]() |
| ▲ 치아 사이의 공간이 넓은 경우에는 치간 칫솔을 사용하는 것이 치아 사이 청소에 좋다. |
![]() |
| ▲ 잇몸 수술을 받은 경우에 잇몸의 염증이 제거되고 잇몸이 회복하면 그림에서처럼 잇몸이 내려가고 치아의 뿌리가 노출된다. 노출된 치아 뿌리 사이로 음식물이 껴서 염증이 재발되지 않게 하려면 치간칫솔로 사이사이 청소해 줘야 한다. |
[저작권자ⓒ 광주세계타임즈. 무단전재-재배포 금지]
















































